“寝ているのに疲れる”と感じる人へ 朝の顎の重さや口の違和感、その背景にあるものとは

神谷町デンタルクリニック(東京都港区、院長:高島美祐)では近年、「朝起きると顎が重い」「食いしばっていたような感覚がある」「首の後ろがこっている」といった、睡眠後にもかかわらず口腔周囲の違和感を訴える相談が増えています。

こうした背景には、スマートフォンの普及による生活習慣の変化や、睡眠の“休まり方”の質の変化が関係している可能性があります。本リリースでは、日常生活の変化と口腔機能の関係について、歯科臨床の視点から整理します。

朝の口腔周囲の違和感――見落とされやすいサイン

朝起きたとき、顎が重く感じることはありませんか。
口の乾きやねばつき、食いしばっていたような感覚に加え、首や肩のこりを感じるという声も少なくありません。

これらは単なる疲労ではなく、就寝中の無意識の筋緊張の影響として現れている可能性があります。歯ぎしり(ブラキシズム)や食いしばりは自覚しにくく、「寝ているはずなのに疲れが抜けない」といった感覚につながるケースも見られます。

睡眠環境の変化――“量”だけでなく“質”への影響

近年、スマートフォンの普及により、就寝前まで情報に触れる生活が一般化しています。こうした習慣は睡眠時間だけでなく、“休まり方”の質にも影響を与える可能性があります。

厚生労働省「令和5年 国民健康・栄養調査」によると、睡眠で十分に休養がとれている人は74.9%にとどまり、1日の睡眠時間が6時間未満の割合は男性38.5%、女性43.6%でした。特に50歳代では男性49.4%、女性53.1%と約半数に達しており、「十分に休めていない状態」が日常化している世代であることが示されています。

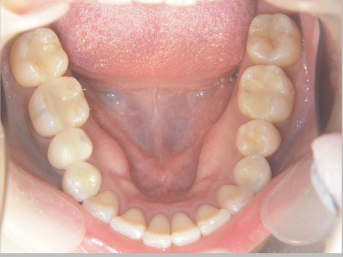
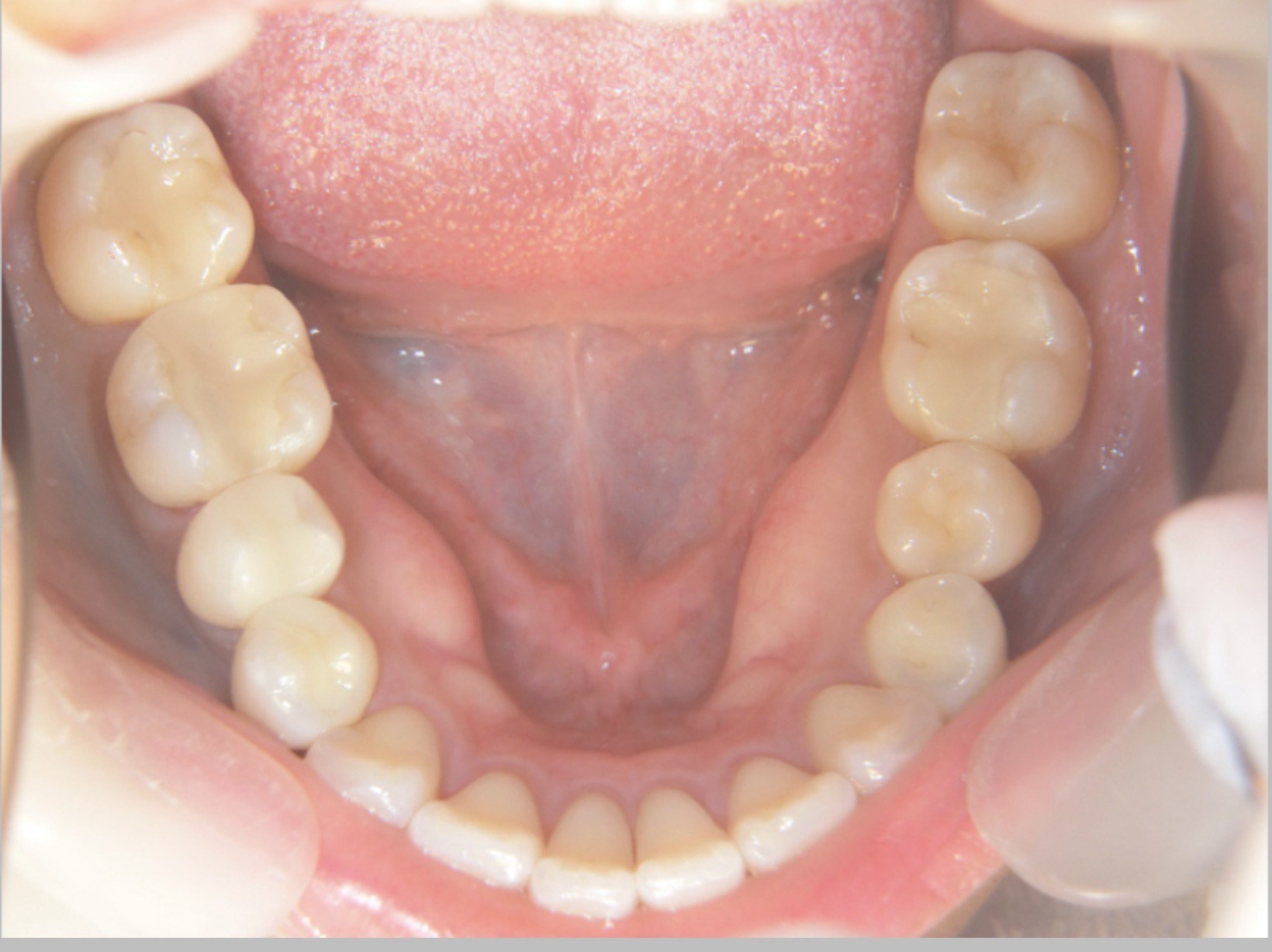
歯科から見える“無意識の負荷”――骨隆起というサイン

睡眠中の歯ぎしりや食いしばりは自覚しにくいことが特徴です。長期間にわたり口腔内に力が加わることで、顎の骨がその負荷に適応し、「骨隆起(こつりゅうき)」と呼ばれる骨のふくらみが形成されることがあります。

骨隆起は下顎の内側(舌の付け根付近)や上顎中央部に見られ、自覚症状がないまま進行するケースも少なくありません。

舌で触れた際に「内側に硬い出っ張りがある」と感じる方は、一度確認のきっかけになる場合があります。「自分には関係ない」と思っている方でも、実際に確認すると見られるケースは少なくありません。

当院の臨床では、20代後半の患者においても骨隆起が確認される例があり、無意識の咬合圧が比較的若い年代から蓄積している可能性も考えられます。

「治療」ではなく「設計」として捉える視点

神谷町デンタルクリニックでは、歯の摩耗や顎関節の状態、咀嚼筋の緊張などを複合的に確認し、口腔周囲にかかる力のバランスを評価しています。

こうした違和感を単なる一時的な不調としてではなく、咬合・筋バランス・生活習慣を含めた「全体の設計」として捉え、状態の背景を整理することを重視しています。

必要に応じて、マウスピース(スプリント)の使用や生活習慣の見直し、必要であれば矯正治療など、複数の選択肢を提示しながら、無理のない対応を検討します。

朝の違和感が気になる方へ――相談のきっかけとして

30〜50代は、仕事や家庭の影響で生活リズムが乱れやすく、不調を後回しにしやすい世代でもあります。

「なんとなく朝の顎が重い」「口の中が気になる」といった違和感も、日々の積み重ねによる身体からのサインである可能性があります。

症状として強く出ていない段階でも、違和感に気づいたタイミングで状態を見直すことが、長期的な口腔環境の安定につながる場合があります。

まとめ――歯科が担う「気づき」の役割

生活環境の変化により、睡眠や身体のコンディションは日々影響を受けています。その中で、口腔周囲に現れる違和感は見過ごされやすい一方で、生活習慣や身体の状態を見直すきっかけとなる可能性があります。

「なんとなく疲れている」「仕方ない」と感じていた違和感が、実は身体からのサインであることもあります。歯科は、そうした変化を口腔内の視点から読み取り、整理するための一つの専門的な選択肢です。


AIが記事を作成しています